Per maggiori informazioni, i prezzi e come prenotare contatta il nostro call center al numero 057 199281 oppure vai alla pagina Prenotazioni.
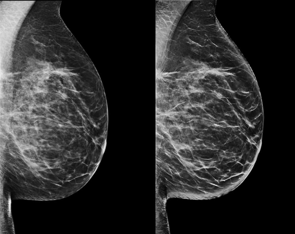
La mammografia è un esame fondamentale per la prevenzione del tumore della mammella, poiché è in grado di individuare lesioni di piccole dimensioni. Rappresenta quindi una tecnica di diagnostica per immagini consigliata a tutte le donne a partire dai 40 anni.


Come si svolge l’esame
La mammografia è una tecnica di diagnostica radiologica che consente di rilevare lesioni mammarie in fase molto precoce ed è consigliata a tutte le donne a partire dai 40 anni. L’apparecchio radiologico che consente di effettuare l’esame è il mammografo che, nelle versioni aggiornate, permette di utilizzare la tecnica di imaging tridimensionale (TOMOSINTESI), ovvero la ricostruzione di immagini volumetriche della ghiandola mammaria, metaforicamente affettando l’organo in strati.
La mammografia deve essere accompagnata da una visita senologica eseguita da un senologo, o da altro specialista di fiducia, che può confrontare eventuali esami fatti in precedenza, eseguire l’ecografia mammaria, nel caso sia ritenuta opportuna, consigliare ulteriori indagini come ad esempio l’agoaspirato o la biopsia mammaria o programmare screening futuri.
Accettazione dal lunedì al venerdì dalle ore 07.30 alle ore 19.00
Sabato dalle ore 07.30 alle ore 12.00
Call Center aperto dalle ore 08.00 alle ore 18.00
Tel 0571/99281
Fax 0571/992899
Mail info.ecomedica@ergeagroup.com
Prenota online
Risparmia tempo e denaro!
Utilizza il nostro servizio di prenotazione online!